/

Ground Truth CT Scans

Segmented Lung Images
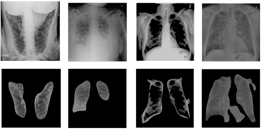
Augmented Training Data